Aby przeprowadzić rozpoznanie, które pozwoli na pozyskanie informacji odnośnie stanu dziąseł, tkanek znajdujących w szczęce, kości czaszki, czy samych zębów, należy przeprowadzić odpowiednie badanie, jakim jest rentgen. W naszym łódzkim gabinecie świadczymy tego typu usługi. Są one szczególnie pomocne przy rozpoznaniu ewentualnych chorób i ustaleniu sposobu leczenia, który będzie właściwy dla konkretnego pacjenta.
Posiadamy najnowocześniejszy aparaty RTG firmy Gendex. Dzięki tak zaawansowanej technologii możliwa jest pełna diagnostyka stomatologiczna.
Dbamy o naszych pacjentów i o zdrowie ich zębów, dlatego przed leczeniem wykonujemy dokładną diagnostykę schorzenia, w tym także zdjęcia rentgenowskie. To właśnie dzięki nim wiemy, jak należy przeprowadzić leczenie, gdyż dostarczają wiele informacji odnośnie zdrowia tkanek wokół zęba, kości, jak i samych zębów.
Rentgen zębów – Łódź
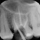
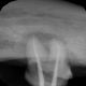
Diagnostyka radiologiczna jest jednym z podstawowych badań poprzedzającym właściwe leczenie pacjentów stomatologicznych. Zdjęcia RTG które wykonujemy w naszych gabinetach, pozwalają ocenić stan zęba, korzeni, tkanek, a także kości. Dokładne rozpoznanie może ułatwiać ułożenie indywidualnego planu leczenia i tym samym zwiększać szanse na skuteczną terapię. Pacjentom odwiedzającym nasze gabinety stomatologiczne proponujemy wykonanie zdjęcia zębów dla ortodonty, do leczenia kanałowego oraz pantograficzne, ukazujące żuchwę, stawy skroniowo-żuchwowe, a także zatoki szczękowe.
RTG zębów: leczenie ortodontyczne, implantologia
Nasza pracownia radiologiczna wyposażona jest w aparaty nowej generacji, dzięki którym możliwe jest wykonanie szerokiej diagnostyki. Wykonane przez nas zdjęcia RTG, w tym pantograficzne, mogą posłużyć nie tylko w leczeniu ortodontycznym, ale również w endodoncji i implantologii. Badanie rentgenowskie jest nieiwazyjne, nie zajmuje wiele czasu, a my dokładamy starań, aby pacjenci możliwie jak najszybciej otrzymywali wywołane zdjęcia uzębienia.
Zdjęcia zębów do ortodonty i leczenia kanałowego
Jak wspomnieliśmy, obrazowa diagnostyka jest niezbędna m.in. podczas wizyty u ortodonty. Lekarza w takim przypadku interesuje rozkład zębów, stan korzeni czy przyzębia. Wszystkie niezbędne informacje do rozpoczęcia leczenia daje właśnie obrazowanie rentgenowskie. Może się okazać, że konieczna będzie jeszcze dokładniejsza diagnostyka – wówczas w naszym gabinecie można wykonać zdjęcie pantograficzne. Ten rodzaj badania uwidoczni np. zawiązki zębów.
Rentgenowskie zdjęcie będzie także potrzebne czy wręcz niezbędne podczas przygotowań do leczenia kanałowego. Dzięki zdjęciu RTG lekarz będzie w stanie prawidłowo ocenić różne parametry zęba takie jak długość korzenia czy ilość kanałów.
Serdecznie zapraszamy do skorzystania z naszych usług!

Nasze przykładowe realizacje :
